INDICE:
1.0 Visita e diagnosi
1.1 Visita corporea
1.1.1 Anamnesi
1.1.2 Ispezione
1.1.2.1 Frequenza,
profondit, regolarit del respiro
1.1.2.2 Tipi di
respirazione patologica
1.1.2.2.1 Cheyne-Stokes
1.1.2.2.2 Biot
1.1.2.2.3 Kussmaul (bocca a
bacio)
1.1.2.3 Forma toracale
1.1.2.3.1 Torace a botte
1.1.2.3.2 Torace a imbuto
1.1.2.4 Simmetria
toracica
1.1.2.5 Estensione
respiratoria
1.1.2.6 Ispezione delle
corde vocali
1.1.3 Percussione
1.1.4 Auscultazione
1.1.5 Fremito vocale
1.2 Visite ausiliarie
1.2.1 Radiografia
(tomografia, broncografia)
1.2.2 Analisi dei gas
ematici
1.2.3 Spirometria
1.2.4 Broncoscopia
1.2.5 Angiografia
1.2.6 Scintigrammi
1.3 Visite alternative
1.3.1 Ispezione
1.3.1.1 Cianosi
1.3.1.2 Telangectasia
1.3.1.3 Lobi nasali
inferiori alterati
1.3.2 Agopuntura
1.3.3 Zone di Head
2.0 Disturbi delle vie respiratorie
2.1 Rinite acuta
2.1.1 Infezione
2.1.2 Germe
2.1.3 Sintomi
2.1.4 Terapie per la
rinite acuta
2.2 Sinusite
2.2.1 Infezione
2.2.2 Complicazioni
2.2.3 Terapia
2.3 Laringite
2.3.1 Cause
2.3.2 Sintomi
2.3.3 Complicazioni
2.3.4 Terapie
2.4 Bronchite
2.4.1 Cause
2.4.2 Sintomi
2.4.3 Forme
2.4.4 Complicazioni
2.4.5 Terapia
2.5 Asma bronchiale
2.5.1 Cause
2.5.2 Patogenesi
2.5.3 Forme di asma
2.5.4 Sintomi
2.5.5 Terapie
2.6 Bronchiettasia
2.6.1 Cause
2.6.2 Sintomi
2.6.3 Terapie
3.0 Disturbi polmonari
3.1 Enfisema polmonare
3.1.1 Cause
3.1.2 Sintomi
3.1.3 Complicazioni
3.1.4 Terapie
3.2 Polmonite
3.2.1 Sintomi generali
3.2.2 Forme di
polmoniti
3.2.2.1 Primaria/secondaria
3.2.2.2 Acuta/cronica
3.2.2.3 Batterica/atipica
3.2.3 Broncopolmonite
3.2.3.1 Cause
3.2.3.2 Evoluzione
3.2.3.3 Complicazioni
3.2.3.4 Trattamento
3.2.4 Polmonite lobale
(alveolare)
3.2.4.1 Sintomi ed
evoluzione
3.2.4.2 Complicazioni
3.2.4.3 Trattamento
3.3 Ascessi polmonari
3.3.1 Sintomi
3.3.2 Terapia
3.4 Fibrosi polmonari
3.4.1 Silicosi
3.4.1.1 Patogenesi
3.4.1.2 Sintomi
3.4.1.3 Diagnosi
3.4.1.4 Complicazioni
3.4.1.5 Terapia
3.4.1.6 Prognosi
3.4.1.7 Prevenzione
3.4.2 Sarcoidosi
(Morbus Boeck, buuk)
3.4.2.1 Sintomi
3.4.2.2 Prognosi
3.4.2.3 Terapie
3.4.3 Collagenosi
(Fibrosi collagenosa)
3.5 Edemi polmonari
3.5.1 Sintomi
3.5.2 Terapia
3.6 Embolie e infarti polmonari
3.6.1 Sintomi
3.6.2 Terapie
3.7 Carcinoma polmonare e bronchiale
3.7.1 Cause
3.7.2 Sintomi preliminari
3.7.3 Sintomi tardivi
3.7.4 Diagnosi
3.8 Tubercolosi
3.8.1 Germe
3.8.2 Incubazione
3.8.3 Infezione
3.8.4 Diagnosi
3.8.5 Evasione
3.8.6 Patogenesi
3.8.7 Tubercolosi
cronica
3.8.8 Tubercolosi
miliare e organica
3.8.9 Terapia
4.0 Disturbi della pleura
4.1 Pleurite
4.1.1 Patogenesi
4.1.2 Forme
4.1.3 Terapia
4.2 Pneumatorace
4.2.1 Patogenesi
4.2.2 Sintomi
4.2.3 Terapia
4.2.4 Pronto soccorso
5.0 Ricettario delle vie respiratorie
5.1 Rinite
5.2 Sinusite
5.3 Laringite, bronchite (mal di gola,
raucedine, tosse)
5.4 Asma bronchiale

1.0 Visita e diagnosi
Sono trattati i seguenti temi:
- Visita corporea.
- Visite ausiliarie.
- Visite alternative.
1.1 Visita corporea.
Sono trattati i seguenti temi:
- Anamnesi.
- Ispezione.
- Percussione.
- Auscultazione.
- Fremito vocale.
1.1.1 Anamnesi
Chiedere informazioni su: tosse, sputo, difficolt respiratorie, malattie bronchiali, polmonari, pleuriche.
1.1.2 Ispezione
Consiste nellispezione della forma toracale, dei movimenti respiratori toracali e della respirazione stessa. Sono trattati i seguenti temi:
- Frequenza, profondit, regolarit del respiro.
- Tipi di respirazione patologica.
- Forma toracale.
- Simmetria toracica.
- Estensione respiratoria.
- Ispezione delle corde vocali.
1.1.2.1 Frequenza, profondit, regolarit del respiro
Senza che lo noti il cliente si osserva frequenza, profondit e regolarit della respirazione.
1.1.2.2 Tipi di respirazione patologica
Sono trattati i seguenti tipi patologici di respirazione:
- Cheyne-Stokes.
- Biot.
- Kussmaul (bocca a bacio).

1.1.2.2.1 Cheyne-Stokes
- Pause repiratorie, poi ripresa piccola, aumentando fino a profondissimi, poi pausa...
- Il centro respiratorio agisce solo con aumentato CO2 ematico.
Le cause possono essere:
- Insufficienza cardiaca grave.
- Difetti cerebrali.
- Tossicosi.
1.1.2.2.2 Biot
- Respirazione accentuata e regolare, interrotta da pause improvvise.
- Il centro respiratorio agisce solo ad abbassamento O2.
Le cause possono essere:
- Lesione del centro respiratorio.
- Emazie intercraniali.
- Edemi cerebrali.
- Meningoencefalite.
1.1.2.2.3 Kussmaul (bocca a bacio)
- Respirazione regolare profondissima (con bocca appuntita).
- Lorganismo tenta di compensare unacidosi ematica (pH ematico < 7.38).
- Prevalentemente nel coma diabetico.
1.1.2.3 Forma toracale
Si valuta la forma toracale: le deviazioni pi frequenti sono:
- Torace a botte.
- Torace a imbuto.
1.1.2.3.1 Torace a botte
Torace a botte di enfisematici (e spesso asmatici): il torace praticamente bloccato in posizione dispirazione.
1.1.2.3.2 Torace a imbuto
Torace a imbuto e/o da gallina: spesso congenito, ogni tanto rachitico, di scoliosi...

1.1.2.4 Simmetria toracica
Si valuta la simmetria toracica; sporgenze toracali da:
- Mm. pectoralis sovrasviluppati sul lato dominante.
- Cifosi/cifoscoliosi.
- Rotture di coste.
- Dilatazione del cuore (gobbo cardiaco).
- Dilatazione gastrica (gobbo gastrico).
- Raramente tumori.
1.1.2.5 Estensione respiratoria
In caso di sospettato enfisema si misura la differenza circonferenziale tra massima inspirazione/espirazione. Giovanotti sani 10...12 cm. Enfisematici 12 cm.

1.1.2.6 Ispezione delle corde vocali

1.1.3 Percussione
Si tengono in considerazione i seguenti fattori:
- Percussione comparativa dx. e sin.
- Si raggiunge ca. 5 cm di profondit del tessuto.
- Muscolatura e grassi ammortizzano il suono.
Si valuta secondo i seguenti criteri:
- Sopra il tessuto normale polmonare si incontra un suono sonoro: forte, duraturo, basso.
- Ipersonoro nellenfisematico.
- Timpanico sopra caverne polmonari.
- Cosciale (come sulla coscia): alto, piano, ottuso sopra polmoniti e cicatrici polmonari.
1.1.4 Auscultazione
Si tengono in considerazione i seguenti fattori:
- Comparativa dx. e sin.
- Cliente: bocca aperta, respirazione un po forzata.
- 810 cicli respiratori al massimo per evitare iperventilazione con crampi.
Si valuta secondo i seguenti criteri:
Normale un rumore vescicolare tipo sfrusciare, stormire.
Il rumore diminuito in caso di:
- Enfisema.
- Chiusura di un ramo bronchiale.
- Disturbi pleurici.
Il rumore pi acuto nei bambini e con la bronchite; normalmente si sente un rumore caratteristico sulla trachea/laringe.
- Se si sente questo rumore anche sopra il polmone: aumentata densit del tessuto polmonare p.es. polmonite.
- Strepito umido: in caso di secreti viscosi e/o essudati come bronchite, polmonite, edemi.
- Strepito secco: in caso di secreti densi nei bronchi come asma bronchiale, bronchite cronica dei fumatori.
- Sfregamento della pleura. Suono come di scarpe nuove, nella parte inferiore del polmone in caso di pleura secca.
1.1.5 Fremito vocale
Esame delle vibrazioni toracali durante il parlare a bassa voce. Non fattibile presso soggetti femminili con voce alta e bambini.
Si mettono le mani sul torace del paziente in modo che le articolazioni base digitali si trovino sulle intercostali. Il paziente dice con bassa voce p.es. nove-nove. In ogni ripetizione si palpa unaltra parte del torace, paragonando dx. e sin.
Fremito amplificato:
- Polmonite.
- Caverne polmonali (grandi).
- Polmone indurito di tessuto connettivo.
Fremito diminuito:
- Liquido nella pleura.
- Pneumotorace.
- Broncocarcinoma chiude parte polmonare.

1.2 Visite ausiliarie
Sono trattati i seguenti argomenti:
- Radiografia (tomografia, broncografia).
- Analisi dei gas ematici.
- Spirometria.
- Broncoscopia.
- Angiografia.
- Scintigrammi.
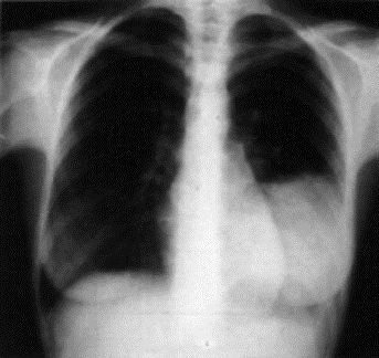
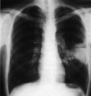
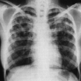
1.2.1 Radiografia (tomografia, broncografia)
Metodo diagnostico prevalente, eventualmente completato con tomogramma delle parti dubbiose o broncografia (a contrasto).
1.2.2 Analisi dei gas ematici
Si misurano il contenuto di gas respiratori e la capacit di tamponamento (acido/base) del sangue arterioso per dedurre il funzionamento dei meccanismi fisiologici patologici.
1.2.3 Spirometria
Misurazione di diverse caratteristiche volumetriche dei polmoni per determinare la capacit respiratoria.
1.2.4 Broncoscopia
Ispezione dei bronchi con una sonda ottica, attrezzata di marchingegni per prelevare campioni tessutali, usato in caso di sospettato carcinoma o per levare particelle estranee.

1.2.5 Angiografia
Radiografia dopo iniezione di una sostanza di contrasto nei vasi sanguigni e linfatici per scopire ed eventualmente chirurgicamente levare degli emboli.
1.2.6 Scintigrammi
Iniezione di sostanza marcata radioattivamente e dettazione per scoprire sezioni polmonari meno ventilate p.es. a causa di un carcinoma.
1.3 Visite alternative
Sono trattati i seguenti argomenti:
- Ispezione.
- Agopuntura.
- Zone di Head.
1.3.1 Ispezione
Sono trattati i seguenti temi:
- Cianosi.
- Telangectasia.
- Lobi nasali inferiori alterati.
1.3.1.1 Cianosi
Labbra, guance, fronte: spesso in patologie cardiache e polmonari.
1.3.1.2 Telangectasia
Dilatazione duratura di piccoli vasi sanguigni superficiali:
- Lungo il dorso nasale fino alla radice: disordini polmonari o predisposizione a disturbi dellapparato respiratorio. Fumatori: pi inclini.
- Lungo larco delle coste (corona venosa di Sahli): sospetto di enfisema cronico.
1.3.1.3 Lobi nasali inferiori alterati
Piccoli, deboli, senza tensione: incline a disturbi respiratori, se solo da una parte, il disturbo si manifesta collateralmente.
1.3.2 Agopuntura
- Punto dallarme per disturbi dellapparato respiratorio Po1.
- 6 cun laterale della mediana, 1 cun sotto la clavicola.
- 1 cun la larghezza del pollice del paziente allaltezza del fondo dellunghia.
1.3.3 Zone di Head
- Segmenti prevalenti sono C3/C4 e T3...T5.
- Per un esame approfondito sono da visitare i segmenti da C3T9 con dolore di pressione, cambiamenti di tensione e struttura dermica.
2.0 Disturbi delle vie respiratorie
Sono trattati i seguenti temi:
- Rinite acuta.
- Sinusite.
- Laringite.
- Bronchite.
- Asma bronchiale.
- Bronchiestasi.
2.1 Rinite acuta
Oltre alle forme infettive si tratta spesso di processi infiammatori allergici. In seguito sono trattati prevalentemente le forme infettive:
- Infezione.
- Germe.
- Sintomi.
- Terapie per la rinite acuta.
2.1.1 Infezione
Tramite goccioline (es. starnuto) o per contatto diretto (es. stringersi la mano).
2.1.2 Germe
Sono rinoviri, conosciuti pi di 50 tipi con scarsa possibilit di immunizzazione.
2.1.3 Sintomi
Starnuto, solletico in gola, tosse irritativa, aumento di secrezione nasale.
2.1.4 Terapie per la rinite acuta
Per la rinite infettiva metodi naturopatici come:
- Idroterapie: pediluvi crescenti e alternati, lavaggi del corpo.
- Spazzolamento a secco.
- Infrarosso.
Riescono ogni tanto a bloccare leruzione se lintervento tempestivo, altrettanto come:
- 50 mg di zinco al giorno e/o
- altre misure per stimolare la fagocitosi (1gr. di Vit. C al giorno ) > ric. A).
Se la rinite gi persistente, aiuta molto mettere, ogni volta che il naso tappato, 1 goccia di olio eterico di rosmarino sulla falda dei lobi nasali inferiori > ric. B. Inalazione > ric. D servono a impedire levasione in seni nasali, laringe e bronchi.
La rinite allergica come il raffreddore del fieno viene naturopaticamente trattato con:
- Antiallergici come calcio.
- Antistaminici come Tinct. Ephedrae e Ol. Nigellae.
- Antinfiammatori come enzimi proteolitici.
- Ev. con desensibilizzazione con il proprio sangue (p.es. 1 gt. in 1ml di soluzione fisiologica iniezione s.c. ogni giorno per una settimana).
2.2 Sinusite
Oltre alle forme infettive si tratta spesso di processi infiammatori allergici. In seguito sono trattati prevalentemente le forme infettive.
Infiammazione infettiva delle senoidi accessibili dal naso, (spesso con pus) normalmente batterica, accompagnata di solito da mal di testa.
Sono trattati i seguenti argomenti:
- Infezione.
- Complicazioni.
- Terapia.
2.2.1 Infezione
Spesso legata a:
- Ascessi dentali.
- Bronchite croniche
- e/o Otite.
Sono tutte da trattare perch spesso si infettano a vicenda e si formano focolai incapsulati che scattano con debolezze del sistema immunitario.
2.2.2 Complicazioni
In casi gravi trascurati si possono evolvere complicazioni come:
- Infiammazioni delle meningi
- e/o Edemi delle palpebre.
I casi rischiosi sono da trattare naturalmente con antibiotici (medico).
2.2.3 Terapia
Delle tante cure naturopatiche in merito cito le seguenti da me usate:
- Rinforzare il sistema immunitario antibatterico con diversi mezzi, sostanze, farmaci (p.es. > ric. A).
- Per sciogliere delle croste senoidali: impacchi con farina di senape (cave! occhi) sulle senoidi coinvolte e leggero picchiettare con i polpastrelli sulle zone > ric. C), B) inalazione con antistaminici e germicidi > ric. D).
- Per eliminare linfezione: bagni del naso con sale marino per creare un ambiente fisiologicamente adatto > ric. E).
La sinusite allergica viene naturopaticamente trattata con:
- Antiallergici sistemici come calcio.
- Antiistaminici sistemici come Tinct. Ephedrae e Ol. Nigellae.
- Antiinfiammatori sistemici come enzimi proteolitici (p.es. WOBENZYM).
- Ev. con desensibilizzazione con il proprio sangue (p.es. 1 gt. in 1ml di soluzione fisiologica iniezione s.c. ogni giorno per una settimana).
2.3 Laringite
Sono trattati i seguenti argomenti:
- Cause.
- Sintomi.
- Complicazioni.
- Terapie.
2.3.1 Cause
Infiammazione della laringe acuta o cronica. Le cause possono essere:
- Infettiva: spesso secondaria da catarro e/o bronchite.
- Sovraccarico della voce.
- Irritativa da fumo, polvere, aria secca, agenti chimici.
- Tumori laringali.
- nei bambini sindrome di Krupp/Pseudokrupp.
2.3.2 Sintomi
I sintomi sono raucedine, gola secca, tosse irritativa, ev. mal di gola (probabilmente infettiva).
2.3.3 Complicazioni
Se si notano difficolt respiratorie (bambini), immediatamente pronto soccorso (Krupp).
Se diventa cronica: visita medica per escludere processi tumorali.
2.3.4 Terapie:
- Evitare stimoli irritativi come fumo, aria secca, polvere, discorsi lunghi.
- Inalazioni/gargarismi secondo il caso con
- rimedi antinfiammatori, calmanti, germicidi, > ric. D), F), I).
2.4 Bronchite
Sono trattati i seguenti argomenti:
- Cause.
- Sintomi.
- Forme.
- Complicazioni.
- Terapia.
2.4.1 Cause.
Sono colpiti spesso i fumatori, altri elementi causali possono essere:
- Inquinamento atmosferico.
- Polvere.
- Virus e batteri.
- Predisposizione ereditaria.
2.4.2 Sintomi
Infiammazione delle mucose dei bronchi. Spesso in un primo tempo virale e poi batterica con:
- Tosse con sputo.
- Dolori dietro lo sterno.
- Eventualmente febbre.
- Eventualmente difficolt respiratorie (ostruzione).
2.4.3 Forme
Forme croniche: bronchite per almento 3 mesi in almeno due anni susseguenti.
Forme ostruttive (asmatiche):
- Gonfiore infiammatorio delle mucose bronchiali.
- Spasmi della muscolatura liscia bronchiale.
- Sputo di pus vetroso.
- Difficolt respiratorie.
2.4.4 Complicazioni
Complicazioni di forme ostruttive.
- Broncopolmonite.
- Enfisema polmonare.
- Cor polmonare.
2.4.5 Terapia
Le forme acute gravi vanno trattate dal medico probabilmente con antibiotici.
Le forme croniche vengono trattate in molti modi in naturopatia. Cito le terapie da me preferite:
- Tento di escludere gli stimoli irritativi.
- Le forme infettive le tratto con inalazioni antinfiammatorie, calmanti e germicide > ric. D).
- Le forme asmatiche le tratto con spasmolitici > ric. I), K).
- Le forme croniche le tratto (paliativo) con calmanti, mucodiluenti > ric. G), H).
2.5 Asma bronchiale
Attacchi di difficolt respiratoria causata da ostruzione delle vie respiratorie.
Sono trattati i seguenti argomenti:
- Cause.
- Patogenesi.
- Forme di asma.
- Sintomi.
- Terapie.
2.5.1 Cause
- Spesso reazione allergica (pollini, spore di funghi, milbe, peli di animali,...).
- Relazione a stati emotivi (stress, sindrome di adattamento).
2.5.2 Patogenesi
- Spasmi della muscolatura liscia bronchiale.
- Gonfiore della mucosa bronchiale.
- Ipersecrezione viscosa.
Creano unostruzione delle vie respiratorie che:
- Gonfiano gli alveoli.
- Impediscono la ventilazione.
- Creano il tipico torace bottiforme.
Da notare che impedita lespirazione (e non linspirazione).
2.5.3 Forme di asma
- Estrinseca: (da allergeni) spesso in bambini, raramente dopo i 35 anni. Forte componente ereditaria e nessi con malattie atopiche (neurodermite, raffreddore del fieno, crosta lattea).
- Intrinseca: (da infezioni) spesso dopo i 40 anni.
- Mista: da allergeni e infetti combinati.
- Da sforzo: spesso in bambini in caso di sforzo fisico, specialmente allaria fredda
- Psicogena: di sforzo/carica psichica sovrapposto a una disposizione delle vie respiratorie agli spasmi.
2.5.4 Sintomi
- Attacco improvviso con difficolt respiratorie (di espirazione).
- Paziente in piedi o seduto con braccia appoggiate (ortopnea) per attivare la muscolatura ausiliaria della respirazione.
- Attacchi di tosse torturanti con poco sputo.
- Suoni respiratori caratteristici.
- Tachicardia con piccola amplitude di pressione.
Lattacco pu durare da un minuto fino a giorni (stato asmatico) e pu essere letale.
Lattacco di solito termina con una forte tosse con tanto sputo denso e viscoso accompagnata da un sentimento di liberazione.
2.5.5 Terapie
Lattacco drammatico e/o duraturo va trattato dal medico che prescrive medicamenti spasmolitici per la muscolatura liscia dei bronchi (VENTOLIN,...).
In naturopatia si interviene con neuralterapia, agopuntura, massaggi (tessuto connettivo, periostio, riflessologia,) ma anche esercizi distensivi
Vedi anche dispensa MN 4.10 Elementi di terapie respiratorie.
Come fitoterapeutici si usano prevalentemente:
Ephedrae: antiallergico e simpatotonico (apre i bronchi).
Lobeliae: calmante e respiroattivo.
Datura: spasmolitico bronchiale.
Sono tutti soggetti a ricetta medica.
Combinati secondo il caso con:
Germicidi: se infettuoso o misto.
Calmanti: per le forme psicogene.
Diluenti del muco: come il timo.
=>ric. I), K).
2.6 Bronchiettasia
Dilatazione non ricuperabile di uno o pi rami bronchiali. Sono trattati i seguenti argomenti:
- Cause.
- Sintomi.
- Terapie.

2.6.1 Cause
Innate o acquisite tramite bronchite cronica, enfisema polmonare, polmonite o tramite malattie infantili come morbillo, pertosse.
2.6.2 Sintomi
Sputo mattutino di 12 dl di secreto puzzolente, spesso tosse con sputo anche in giornata.
2.6.3 Terapie
Ev. operazioni.
Palliativo: aiuto di scarico di sputo mattutino in posizione pendente e altre misure per evitare infezioni ed irritazioni, specialmente inalazioni antinfettive e diluenti del muco (timo).
3.0 Disturbi polmonari
Sono trattati i seguenti temi:
- Enfisema polmonare (enfisema => gonfiamento).
- Polmonite.
- Ascessi polmonari.
- Fibrosi polmonari.
- Edemi polmonari.
- Embolie e infarti polmonari.
- Carcinoma polmonare e bronchiale.
- Tubercolosi.
3.1 Enfisema polmonare
Ampliamento degli alveoli a causa di irreversibile distrofia delle loro pareti di separazione; gonfiamento dei polmoni con capacit di respirazione ridotta.
Sono trattati i seguenti argomenti:
- Cause.
- Sintomi.
- Complicazioni.
- Terapie.

3.1.1 Cause
- Espirazione difficoltosa in caso di asma.
- Pressione della tosse in caso di bronchite ostruttiva.
- Oltre i 55 anni, per linvecchiamento del tessuto polmonare.
3.1.2 Sintomi
- Difficolt respiratoria.
- Tosse con sputo.
- Torace bottiforme.
- Diminuita escursione respiratoria (pochi centimetri) >ispezione.
- Conche clavicolari convesse.
3.1.3 Complicazioni
- Sviluppo di cor pulmonale e insufficienza cardiaca dx.
- Pneumotorace spontaneo se scoppiano degli alveoli.
3.1.4 Terapie
- Il paziente necessita di sorveglianza medica.
- Terapia (palliativa) secondo la causa ed evitare tutti i fattori che potrebbero peggiorare la situazione del polmone.
- Esercizi di respirazione (PAROW) e lavoro corporeo di rinforzo passivo della muscolatura toracica. Vedi anche dispensa MN 4.10 Elementi di terapie respiratorie.
3.2 Polmonite
Infiammazione infettiva o abatterica cronica o acuta dei polmoni.
Sono trattati i seguenti temi:
- Sintomi generali.
- Forme di polmoniti.
- Broncopolmonite.
- Polmonite lobale (alveolare).
3.2.1 Sintomi generali
- Tosse con sputo.
- Febbre.
- Dolori respiratori.
3.2.2 Forme di polmoniti
Sono trattati i seguenti argomenti:
- Polmonite primaria/secondaria.
- Polmonite acuta/cronica.
- Polmonite batterica/atipica.
3.2.2.1 Polmonite primaria/secondaria
- Primaria: microorganismi infettano il polmone direttamente.
- Secondaria: infezione in seguito a unaltra malattia (carcinomi, edemi, bronchiettasia, ).
3.2.2.2 Polmonite acuta/cronica
- Acuta: tipici sintomi infiammatori.
- Cronica: se durano pi di 6...8 settimane. Pazienti con scarsa difesa immunitaria.
3.2.2.3 Polmonite batterica e atipica
- Batterica: infezione di batteri p.es. pneumococchi, streptococchi, stafilococchi
- Atipica: non batterica prevalentemente in bambini e giovani; virus, sclamidi, micoplasmi, ricksettie, funghi, parassiti. Spesso con poca febbre, tosse secca irritativa con poco sputo.
Se non ci sono complicazioni, la prognosi buona.
3.2.3 Broncopolmonite
Focolai infiammatori in bronchioli o in alveoli (non delimitata ad un solo lobo) con infiltrazione di essudati.
Sono trattati i seguenti argomenti:
- Cause.
- Evoluzione.
- Complicazioni.
- Trattamento.
3.2.3.1 Cause
Spesso secondaria da bronchite o altre malattie polmonari o in pazienti con insufficienza cardiaca che devono stare a letto.
Inizio spesso occulto, la temperatura aumenta lentamente e non troppo alta (o manca).
3.2.3.2 Evoluzione
Spesso tachicardia, tachipnea; sputo con pus; rumori auscultatori; sedimentazione aumentata; leucocitosi ematica.
3.2.3.3 Complicazioni
Propagazione dei focolai, collasso cardiocircolatorio.
3.2.3.4 Trattamento
Dal medico (con antibiotici ed ev. digitalis per rinforzare il cuore). Osservare le regole generali per malattie infettive (sistema immunitario, antinfiammatori) e trattare poi le ev. cause.
3.2.4 Polmonite lobale (alveolare)
Acuta infiammazione di un lobo polmonare. Sono trattati i seguenti argomenti:
- Sintomi ed evoluzione.
- Complicazioni.
- Trattamento.

3.2.4.1 Sintomi ed evoluzione
- Infiammazione > essudato con leucociti ed eritrociti negli alveoli coagula inizialmente, poi diventa di nuovo liquido (fibrinolisi).
- Attacco improvviso con scuotimento, febbre 3940C. Tachicardia e tachipnea.
- Respirazione ritardata sulla parte toracale colpita, i lobi nasali si muovono con la respirazione.
- Tosse e sputo rugginoso.
- Dolori toracali.
- Rumori respiratori auscultatori sul lobo colpito.
- Percussione smorzata sul lobo colpito.
- Se non trattato adeguatamente, dopo una settimana cessione critica della febbre con attacco di sudore con rischio di choc circolatorio.
3.2.4.2 Complicazioni
- Defebbrizzazione critica con collasso circolatorio letale.
- Collasso cardiaco per lesione tossica del miocardio.
- Ascessi polmonari.
- Infezione della pleura.
- Sepsis con metastasi di pus in meningi, articolazioni, cuore, peritoneo.
- Se la difesa immunitaria scarsa, possono infettarsi altri lobi polmonari o pu diventare cronico
3.2.4.3 Trattamento
Dal medico. Osservare le regole generali per malattie infettive (sistema immunitario, antiinfiammatori).
3.3 Ascessi polmonari
Il tessuto polmonare viene fuso per via di uninfezione batterica causata da polmonite, bronchiettasia o sepsis ematica. Sono trattati i seguenti argomenti:
- Sintomi.
- Terapia.

3.3.1 Sintomi
- Febbre alta.
- Scuotimento.
- Sputo con pus.
3.3.2 Terapia
Immediatamente dal medico. Se non migliora con gli antibiotici son necessari interventi chirurgici (drenaggio, ectomia del focolaio). Osservare le regole generali per malattie infettive (sistema immunitario, antinfiammatori).
3.4 Fibrosi polmonari
Sono trattati i seguenti temi:
- Silicosi.
- Sarcoidosi (Morbus Boeck, buuk).
- Collagenosi (Fibrosi collagenosa).
3.4.1 Silicosi
Inalazione di polvere ricca di quarzo per anni (minatori, sabbiatori) crea la silicosi.
Sono trattati i seguenti argomenti:
- Patogenesi.
- Sintomi.
- Diagnosi.
- Complicazioni.
- Terapia.
- Prognosi.
- Prevenzione.
3.4.1.1 Patogenesi
Delle particelle vengono fagocitate negli alveoli formando cellule di polvere. Processi enzimatici durante la decomposizione dei fagociti fanno crescere il tessuto connettivo in modo granulomatoso. Anche ad esposizione terminata la malattia pu progredire.
3.4.1.2 Sintomi
Non tipici, in stato avanzato dispnea e bronchite.
3.4.1.3 Diagnosi
Con radiografia.
3.4.1.4 Complicazioni
Tubercolosi in 30% dei casi, insufficienza cardiaca dx.
3.4.1.5 Terapia
Non specifica e palliativa (bronchite cronica, facilitazioni respiratorie)
3.4.1.6 Prognosi
Sfavorevole perch progrediente anche dopo aver interrotto lesposizione.
3.4.1.7 Prevenzione
Posto di lavoro, maschere, controlli radiografici.
3.4.2 Sarcoidosi (Morbus Boeck, buuk)
Fibrosi polmonare, granulomi duri (malattia generale che pu evolversi in nodi linfatici, derma e anche polmonare: fibrosi polmonare. Si sospetta una forma di tubercolosi.
Sono trattati i seguenti argomenti:
- Sintomi.
- Prognosi.
- Terapie.
3.4.2.1 Sintomi
Non specifici, normalmente si scopre per caso in una radiografia polmonare. Si distinguono forme croniche e acute.
3.4.2.2 Prognosi
Il primo stadio e linizio del secondo, possono guarire con cure adatte, il terzo stadio porta a fibrosi con disturbi funzionali polmonari e carico del cuore dx.
3.4.2.3 Terapie
Dal medico con medicamenti adatti.
3.4.3 Collagenosi (Fibrosi collagenosa)
Collagenosi (immunologico).
- Sclerodermia.
- Panarterite nodosa.
- Poliartrite cronica.
- Certi medicamenti citostatici
Possono creare fibrosi polmonari.
3.5 Edemi polmonari
Spesso conseguenza di un infarto cardiaco con collasso del cuore sin.: la pressione ematica nel polmone aumenta al punto che il sangue viene pressato negli alveoli e impedisce lo scambio dei gas. Sono trattati i seguenti argomenti:
- Sintomi.
- Terapia.
3.5.1 Sintomi
- In fase acuta: sangue da capillari negli alveoli.
- Forte dispnea con rumori respiratori, sudore e panico di morire.
- Spesso grandi quantit di sputo rossastro schiumoso.
Stato altamente rischioso!
3.5.2 Terapia
Immediatamente al pronto soccorso. Nel frattempo torace eretto sostenuto, gambe pendenti, e invogliare il paziente a tossire/sputare. Il medico user secondo il caso: strofantina, digitalis, teofillina, nitroglicerina e morfina.
3.6 Embolie e infarti polmonari
Embolia: trombo proveniente da gambe, bacino, addome nel sistema arteriale polmonare blocca il flusso sanguigno nella zona colpita.
Un infarto polmonare unembolia con susseguente necrosi di tessuto polmonare sanguinante. Sono trattati i seguenti argomenti:
- Sintomi.
- Terapie.
3.6.1 Sintomi
Lembolia (piccola) pu succedere senza sintomi fino a sintomi simili ad un infarto cardiaco in casi gravi:
- Dispnea.
- Dolori toracali.
- Nausea.
- Fino a grave choc con perdita di coscienza.
Linfarto polmonare crea tosse (ev. con sputo sanguigno), dolore respiro-dipendente e sfregamento pleurico.
3.6.2 Terapie
Immediatamente trattamento antichoc dal medico demergenza, ev. embolectomia.
3.7 Carcinoma polmonare e bronchiale
Il carcinoma polmonare (alveolare) raro.
Il carcinoma bronchiale parte dalla mucosa bronchiale, maligno e nei maschi la pi letale malattia maligna. Spesso scoperto tardi perch diagnosticato catarro da fumatori. Sono trattati i seguenti argomenti:
- Cause.
- Sintomi preliminari.
- Sintomi tardivi.
- Diagnosi.
3.7.1 Cause
Persone a rischio sono fumatori oltre i 40 anni (statisticamente 1 su 17). Altri fattori di rischio: cobalto, radio, cromio, catrame, bronchite cronica, broncoestasi, amianto (asbesto) con fumo.
3.7.2 Sintomi preliminari
Pochi: tosse irritativa notturna, poco sputo (ev. con sangue fibroso), dolore dietro lo sterno.
3.7.3 Sintomi tardivi
Sputo sanguinoso, raucedine, perdita di peso, metastasi: ossa, nodi linfatici, fegato, cervello, reni.
3.7.4 Diagnosi
Con radiografia, analisi sputo (cellule cancerogene), scintigrafia e broncoscopia.
3.8 Tubercolosi
Infezione acuta o subacuta prevalentemente dei polmoni (90%), ma anche di altri organi:
- Nodi linfatici.
- Ossa.
- Sistema urogenitale.
- Sistema nervoso centrale.
- Sistema gastrointestinale.
Tipica la reazione dellorganismo che tenta di incapsulare il focolaio in tubercoli, un anello di cellule epiteliali, gigantesche (Langhans) e linfociti. Allinterno un centro formaggioso perch la circolazione impedita e lesione tessutale per via di tossine batteriche. Pi tardi possibile formazione di tessuto connettivo ed ev. depositi calcarei. I focolai possono ospitare dei germi virulenti per decenni.
anche possibile che il centro si sciolga e venga eliminato come sputo. Nel polmone si formano caverne.

Sono trattati i seguenti argomenti:
- Germe.
- Incubazione.
- Infezione.
- Diagnosi.
- Evasione.
- Patogenesi.
- Tubercolosi cronica.
- Tubercolosi miliare.
- Terapia.
3.8.1 Germe
- Microbattere tubercolosis; tipo umano: infezione tramite goccioline.
- Tipo bovino: infezione tramite latte (praticamente eliminato per via della soppressione delle bestie ammalate e pastorizzazione del latte).
3.8.2 Incubazione
3 settimane e oltre.
3.8.3 Infezione
Goccioline, polvere, escrementi, latte infetto. A rischio i bambini fino a 2 anni, adolescenti e senescenti dipendente dallo stato immunitario, dose, virulenza e tempo di esposizione.
3.8.4 Diagnosi
Sputo, radiografia, test di tubercolina.
3.8.5 Evasione
Allinizio del XX secolo, il 90% dei bambini era positivo al test, oggi ca. il 3%. Infezione annuale ca. 1 per mille della popolazione.
3.8.6 Patogenesi
Infezione primaria del polmone con focolaio primario nel tessuto polmonare e uno o pi nodi linfatici infetti nellilo polmonare. In 90% dei casi linfetto primario guarisce lasciando una cicatrice (con dentro germi virulenti per decenni). Se lo stato immunitario indebolito si pu evolvere una tubercolosi polmonare cronica e/o una tubercolosi miliare con in seguito tubercolosi organiche.
3.8.7 Tubercolosi cronica
Si evolve dallinfezione primaria infettando altri segmenti polmonari:
- Febbre.
- Tosse con sputo scarso.
- Sudore notturno.
- Sedimentazione accelerata.
- Leucocitosi ematica.
Guarigione possibile in ogni stadio, ma anche possibile la propagazione.

3.8.8 Tubercolosi miliare e organica
Quando i germi evadono nella circolazione.
Se in seguito infettano altri organi > tubercolosi organica.
Obbligo di denuncia!
3.8.9 Terapia
Dal medico con antibiotici, eventualmente ectomia di areali infettati. Osservare i principi di trattamento di malattie infettive (immunitario, infiammatorio).
4.0 Disturbi della pleura
Sono trattati i seguenti temi:
- Pleurite.
- Pneumatorace.
4.1 Pleurite
Infiammazione della pleura, spesso seguente a malattia come:
- Polmonite.
- Infarti polmonari.
- Carcinomi.
- Pancreatite.
- Malattie reumatiche.
Sono trattati i seguenti argomenti:
- Patogenesi.
- Forme.
- Terapia.
4.1.1 Patogenesi
La superficie normalmente liscia della pleura diventa ruvida a causa di depositi fibrinici; frizione dolorosa.
4.1.2 Forme
- Pleuritis sicca:
- Dolore respiratorio in una determinata zona, il paziente disinserisce il movimento respiratorio di questa zona.
- Impulso di tosse.
- Rumore auscultativo come scarpe nuove.
- Quando il dolore sparisce: o guarito o trasformazione in pleurite essudativa.
- Pleuritis essudativa:
- Liquido (essudato) tra le lamine pleurali (fino a qualche litro).
- Possibile febbre.
- Dispnea.
- Percussione smorzata, auscultazione muta.
- Dopo la guarigione spesso cicatrizzazioni che impediscono il movimento respiratorio e possono deformare il torace.
4.1.3 Terapia
Immediatamente dal medico. Osservare i principi di trattamento di malattie infettive (immunitario, infiammatorio).
4.2 Pneumatorace
Aria tra le lamine pleuriche.
- O dallinterno (spontaneo) per via di bolle enfisematiche scoppiate.
- O dallesterno per via di ferite come punzioni, fratture coste
Sono trattati i seguenti argomenti:
- Patogenesi.
- Sintomi.
- Terapia.
- Pronto soccorso.
4.2.1 Patogenesi
Aria tra le lamine pleuriche causa il collasso polmonare: il polmone si contrae in un pezzo di tessuto grande come un pugno intorno allilo.
4.2.2 Sintomi
Dispnea, dolore toracale, impulso di tosse, la parte toracale coinvolta ritarda il movimento respiratorio.
4.2.3 Terapia
Immediatamente in clinica.
4.2.4 Pronto soccorso
In caso di punzione si sente in fase di espirazione laria che penetra nella pleura. Tappare il buco con garza sterile e chiudere con nastro adesivo finch non entra pi aria. Pressare sulla ferita fino allintervento chirurgico.
Oggetti penetrati nel torace non bisogna tirarli fuori, ma fissarli fino alloperazione.
5.0 Ricettario delle vie respiratorie
Sono trattati i seguenti argomenti:
- Rinite.
- Sinusite.
- Laringite, bronchite (mal di gola, raucedine, tosse).
- Asma bronchiale.
5.1 Rinite
A) Rinite infettiva (prevenzione e cura)
Rp.
UNIZINK (zinco)
Vit. C
D.S. Ingerire 1 pastiglia di 50mg di UNIZINK e 1000mg di Vit. C p.d.
B) Rinite
acuta
Rp.
O.E. Rosmarini 10
D.S. Spalmare 1 goccia nella falda del lobo nasale inferiore ogni volta che il naso tappato.
B1) Rinite allergica (sistemico)
Rp.
TM Sambucus 40
TM Euphrasia
TM Hydrastis
TM Ephedrae aa 100
D.S. Ingerire da 23 volte al giorno una pipetta (fino a 4 pipette in caso di un attacco) in un po dacqua tiepida.
5.2 Sinusite
C) Impacchi di senape (sciogliere croste senoidali)
Rp.
Farina di senape 100
f. Impacco con acqua tiepida/garza.
S. Applicare sulla zona in merito per qualche minuto. 1 p.d. Cave! occhi
D) Inalazioni
Rp.
O.E. Melaleuca 01.5 (virostatico)
O.E. Eucalipto 01.5 (virostatico)
O.E. Lavanda angust. 01.5 (germicida)
O.E. Timo 01.5 (mucodiluente)
Ol. Calendula 10 (curativo)
Ol. Nigellae ad 30 (antistaminico)
D.S. Mettere poche gocce nellacqua bollente e inalare con il naso e la bocca.
E) Bagni del naso
Rp.
Rhinomer (c/o farmacia)
D.S. Secondo foglio illustrativo.
E1) Sinusite allergica (come rafreddore di fieno)
Rp.
TM Sambucus 40
TM Euphrasia
TM Hydrastis
TM Ephedrae aa 100
D.S. Ingerire da 23 volte al giorno una pipetta (fino a 4 pipette in caso di un attacco) in un po dacqua tiepida.
5.3 Laringite, bronchite (mal di gola, raucedine, tosse)
F) Raucedine, mal di gola
Rp.
O.E. Timo 03 (mucodiluente)
O.E. Limone 01 (mucoformante)
O.E. Salvia 01 (emoliente)
O.E. Menta 00.5 (localanestetico)
Alcol ad 30
D.S. In caso di necessit diluire poche gocce in un po dacqua tiepida e fare i gargarismi.
G) Bronchite cronica
Rp.
TM Rad. Helenii (Alant)
TM Lichene islandico
TM Fol. Farfarae
TM Hb. Pulmonariae aa ad 100
D.S. Ingerire 12 ml 3 p.d.
H) Bronchite
Rp.
O.E. Thymi
O.E. Rosmarini
O.E. Eucalipti aa ad 02
Ol. Girasole ad 50
D.S. Spalmare 10 gocce sul torace ogni sera.
B1) Bronchite allergica
Rp.
Tinct. Ephedrae 20
Tinct. Hobeliae 20
TM Thymus ad 100
D.S. Ingerire 1 pipetta fino al massimo 3 volte al giorno in un po dacqua tiepida.
5.4 Asma bronchiale
I) Asma bronchiale
Rp.
TM Ephedrae 10 (simpatotonico, antiallergico)
TM Lobeliae 10 (pneumo-stimolante)
TM Symphiti 10 (tessuto-curativo)
TM Thymi 10 (mucodiluente)
TM Verbasci 05 (emoliente)
TM Datura ad 50 (bronco spasmolitico)
D.S. Diluire da 10 gocce 3 p.d. in un po dacqua tiepida. In caso di attacchi fino a 40 gocce al mass. 3 p.d.
K) Sigaretta contro attacchi di asma
Rp.
Fol. Asperuli sicccae conc.
Fol. Datura siccae conc. aa ad 100
f. sigarette cave! tossicit se ingerite, bambini.
D.S. In caso di attacco asmatico bastano pochi tiri alla sigaretta accesa per allentare la muscolatura bronchiale. Cave! eliminare il resto della sigaretta, tossica.